Skip to main content

Leukoplakia

Leukoplakia is a white patch or patches in the mouth. If you have a white patch in your mouth that does not go away, get it checked by a dentist or GP.

Symptoms of leukoplakia

Leukoplakia patches:

  • are white patches in the mouth
  • are not usually painful
  • are an irregular shape
  • may be slightly raised
  • may have red areas within the patch
  • cannot be rubbed or scraped away (patches that can be removed could be oral thrush)
A person sticking their tongue out. There are a number of white patches on their tongue that are an irregular shape.
Leukoplakia patches often appear on or below the tongue.
A person pulling their cheek out to show inside. The inside of their cheek is pink with a small white patch in the middle.
You can also get them on the inside of your cheeks.
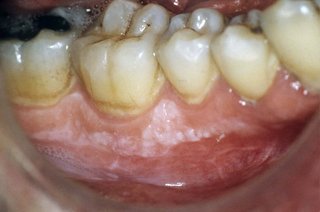
Close-up of a person's teeth and gums. There is a white patch on their gums, just below the teeth.
Some people get leukoplakia patches on their gums or on the floor or roof of their mouth.
Information:

Other causes of a white tongue

Find out about other causes of a white tongue

Non-urgent advice: See a dentist or GP if:

  • you have a white patch in your mouth that does not go away
  • you have a white patch on your tongue and a weakened immune system – for example, if you have HIV or have had an organ transplant
  • you have pain or discomfort in your mouth that is not going away

What happens at your appointment

If it's thought you may have leukoplakia, the dentist or GP will look at the patch or patches in your mouth.

They will be able to rule out other possible causes, such as a fungal infection of the mouth (oral thrush) or cheek biting.

You may be referred to a specialist for a biopsy. This is where a small piece of the patch is removed and checked for abnormal cells.

Important: Mouth cancer risk

If you have leukoplakia, there's a small chance it could progress to mouth cancer over time.

This is why it's important to see a dentist or GP if you have a white patch or patches in your mouth.

Treatments for leukoplakia

Treatment for leukoplakia is not always needed, but you'll have regular check-ups to make sure the patch is not getting bigger.

The patch may get smaller or go away if you:

  • stop smoking
  • stop drinking alcohol or reduce the amount you drink
  • do not chew tobacco, paan or betel nuts

Surgery is sometimes used to remove leukoplakia patches if there's a chance that they could become cancerous.

This may be done after numbing the affected area using local anaesthetic so you do not feel any pain or discomfort. Sometimes a general anaesthetic is used.

The patch can be removed in a number of ways, including using a laser or surgical scalpel. Your mouth should heal quickly afterwards.

Preventing leukoplakia and mouth cancer

The exact cause of leukoplakia is not known, but smoking and chewing tobacco are thought to increase your chances of getting it.

There are things you can do to reduce your chances of getting leukoplakia. These may also reduce your risk of getting mouth cancer.

Do

Don’t

  • do not smoke

  • do not chew tobacco, paan or betel nuts

  • do not drink more than the recommended amount of alcohol (14 units a week)

Hairy leukoplakia

There are a number of different types of leukoplakia.

Hairy leukoplakia is caused by the Epstein-Barr virus, which also causes glandular fever.

You may have hairy leukoplakia if you have a weakened immune system – for example, if you have HIV or have had an organ transplant.

It causes fuzzy white patches, often on the sides of the tongue, that look folded or ridged. They're not painful and cannot be brushed or scraped away.

Antiviral medicines, or treatments you put onto the patch, are sometimes used to treat hairy leukoplakia.

Unlike other types, hairy leukoplakia does not carry a risk of mouth cancer.

Page last reviewed: 15 May 2024
Next review due: 15 May 2027